Comprehensive Dental Rehabilitation of an Osteogenesis Imperfecta Child with Dentinogenesis Imperfecta Type 1

Dental Anomaly in Osteogenesis Imperfecta
Vol. 20 No. 2 : 2025 (838-844)

S. Nagarajan M.P. Sockalingam S. Nagarajan M.P. Sockalingam
Ahmad Shuhud Irfani Zakaria Ahmad Shuhud Irfani Zakaria

Abstract
Dentinogenesis imperfecta-Type I (DGI-Type I) is a dental developmental anomaly observed in some osteogenesis imperfecta (OI) patients. Teeth in this dental anomaly often appear discoloured, and their enamel breaks easily due to the defective underlying dentine. The affected teeth are abraded rapidly if the condition is not identified early. Early diagnosis allows the proper execution of age-based preventive and rehabilitation strategies. Protection of the affected teeth enables various functions of the dentition, such as mastication and dental aesthetics, which could be maintained effectively in growing OI children. Thus ensuring the oral health-related quality of life of the patients with OI is at par with that of their healthy counterparts.
Keywords : Dental anomaly; dental developmental defects; genetics,
Abstrak
Dentinogenesis imperfecta-Type I (DGI-Type I) ialah anomali pembentukan gigi yang diperhatikan dalam sesetengah pesakit osteogenesis imperfecta (OI). Gigi-gigi dalam anomali ini sering mengalami perubahan warna, dan enamelnya mudah pecah disebabkan oleh pembentukan struktur dentin yang tidak sempurna. Gigi-gigi yang terjejas biasanya haus dengan cepat jika keadaan ini tidak dikenal pasti lebih awal. Diagnosis awal membolehkan pelaksanaan strategi preventif dan rehabilitasi yang efektif berdasarkan umur pesakit. Perlindungan gigi-gigi yang terjejas membolehkan pelbagai fungsi pergigian, seperti mastikasi dan estetik gigi boleh dipelihara dengan baik sejajar dengan tumbesaran kanak-kanak OI. Selain itu, ia juga dapat memastikan kualiti hidup berkaitan kesihatan mulut pesakit OI juga adalah setara dengan kanak-kanak sihat.
Kata Kunci : Anomali gigi; genetik; kecacatan pembentukan gigi,

Correspondance Address
S. Nagarajan M.P. Sockalingam. Department of Family Oral Health, Faculty of Dentistry, Universiti Kebangsaan Malaysia, Jalan Raja Muda Abdul Aziz, 50300 Kuala Lumpur, Malaysia. Tel: +6016-6606493 Email: drnaga67@ukm.edu.my.com


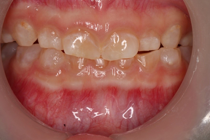
Anterior view of the dentition before treatment