Unilateral Pulsatile Tinnitus in Young Female Adults: A Report of Two Cases

Unilateral Pulsatile Tinnitus in Young Adults
Vol. 20 No. 2 : 2025 (805-810)

Kuganathan Ramasamy Kuganathan Ramasamy
Wan Nabila Wan Mansor Wan Nabila Wan Mansor

Abstract
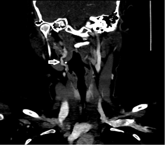
Pulsatile tinnitus (PT) manifests as an auditory sensation synchronised with the heartbeat, occurring without any external auditory stimuli. While its etiology is diverse, vascular factors predominate. We present two intriguing cases of unilateral PT with unremarkable otorhinolaryngological examinations: one attributed to tortuosity of the extracranial internal carotid artery (ICA) and the other to dehiscence of the sigmoid sinus wall. Both patients exhibited a common characteristic whereby compression of the ipsilateral jugulo-carotid region relieved their tinnitus. Diagnostic imaging, including High Resolution Computed Tomography (HRCT) of the temporal bone and Computed Tomography Angiography (CTA) of the head and neck, facilitated accurate diagnosis in both instances. The majority of PT cases have identifiable causes, with imaging modalities playing a pivotal role in diagnosis. Treatment options range from observation with reassurance to medical intervention or surgical management.
Keywords : Arterial; pulsatile tinnitus; venous,
Abstrak
Tinnitus berdenyut adalah suatu fenomena bunyi menyerupai degupan jantung yang didengari oleh seseorang meskipun tiada sebarang stimulus yang nyata. Keadaan ini kebiasaannya berkaitan dengan faktor vaskular. Kami menghuraikan dua kes tinnitus berdenyut unilateral yang menarik di mana satu kes disebabkan oleh liku arteri karotid dalaman (ICA) ekstrakranial dan satu lagi berpunca daripada hakisan dinding sinus sigmoid. Kedua-dua pesakit mempamerkan ciri yang sama di mana tekanan jari di kawasan jugulo-karotid ipsilateral melegakan tinnitus mereka. Pengimejan diagnostik, termasuk 'High Resolution Computed Tomography' tulang temporal dan 'Computed Tomography Angiography' kepala dan leher, menjurus ke arah diagnosa yang tepat dalam kedua-dua keadaan. Majoriti kes tinnitus berdenyut mempunyai punca yang boleh dikenal pasti dan modaliti pengimejan memainkan peranan penting dalam pembentukan diagnosa. Pilihan rawatan merangkumi sekadar pemerhatian dan juga intervensi perubatan termasuk pembedahan.
Kata Kunci : Arteri; tinnitus berdenyut; vena,

Correspondance Address
Wan Nabila Wan Mansor. Department of Otorhinolaryngology-Head and Neck Surgery, Faculty of Medicine, Universiti Kebangsaan Malaysia, Jalan Yaacob Latif, Bandar Tun Razak, 56000 Cheras, Kuala Lumpur, Malaysia. Tel: +6012-4120610 Email: wannabila.wanmansor@gmail.com


CTA showing tortuosity of right extracranial ICA at level C2 (white arrow)